This article is produced and financed by University of Oslo - read more

From thousands of images, artificial intelligence draws conclusions about the prognosis of each individual tumor.

Bowel cancer: Artificial intelligence can reduce overtreatment and wrong treatment

The current treatments for bowel cancer give no effect in many patients. At almost no extra cost artificial intelligence can spare these people from unpleasant treatments that will not work.

Published

In 2018, more than 4,500 people in Norway were treated for colon cancer. This is the most common cancer in Norway with a rapid increase over the past 50 years, according to the Norwegian Cancer Society (NCS).

A new method, based on artificial intelligence, can now make sure many of these patients don't get overtreated or wrongly treated.

“For many people, there is no effect of the treatment and it is just a nuisance,” said Håvard Danielsen, professor at the University of Oxford and the Department of informatics at the University of Oslo. “We want to stop treating or give another treatment to these patients.”

“We don't know everything the computer does to come to its conclusion”, Håvard Danielsen says.

Several stages

Doctors distinguish between four stages when treating patients with colon cancer. In the first stage the patient is treated by removing the tumour. In the fourth stage the cancer has spread to other parts of the body and demands aggressive treatment.

Most patients can be placed in stages two and three.

“In stage three, the tumour has spread to the lymph nodes, but nowhere else. Half of these patients can be cured, while we have no efficient treatment for the other half”, Danielsen says..

Today, however, the same treatment is given to everyone.

“The tumour and an area around it are removed. To the vast majority of patients at stage three, chemotherapy or radiation treatment are also given”, Danielsen says.

These treatments have a lot of adverse side effects. Some patients even die from the treatment.

Danielsen and his research colleagues have therefore tried to find a method that can revealwho will not benefit from what is now standard treatment after the tumour is removed.

Half of the patients will relapse

“After five years, half have relapsed. This half has obviously not gotten the right treatment”, Danielsen says.

The only effects they get are the side effects.

“Then we are left with two possibilities. One is to not bother them anymore. The second is to find an even more aggressive treatment.”

The study, recently published in the journal The Lancet, states that the researchers' new method, which involves the use of artificial intelligence, works properly.

"With this method, we can determine that a large group of patients are not going to have any effect”, Danielsen says.

Thus, it is possible to prevent malpractice and over-treatment of these patients, and also make it easier to obtain new treatments.

“The method based on artificial intelligence paves the way for us to develop a better medical remedy because it gives us more definite groups to develop treatments for and test it on.”

The costs are not that great, either. Much of the work has already been done.

An answer in a minute

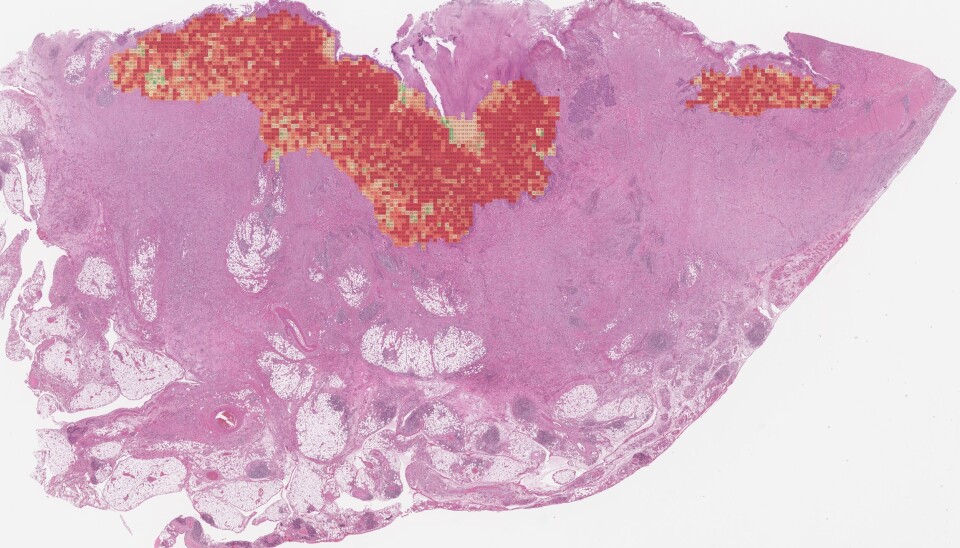
From cancerous tumours that have been surgically removed, laboratory personnel cut out five millimetres thick slices. These are cast into paraffin to form hard blocks, that are then cut into slices that are only three to four micrometres thick and are called slides.

“This has already been done with all tissue samples that come into the hospital”, Danielsen says.

“We already have the cuts. All we have to do is digitize them and analyze them on a computer. Within a minute we have an answer”, he says.

Through so-called deep learning, artificial intelligence has figured out how to distinguish tumours with a good prognosis from those with poor prognosis.

In the learning process, the machine has looked at millions of pictures from colon cancer tumours.

“The machine itself has figured out the various features that best classify patients. We don't know everything the computer does to come to its conclusion”, Danielsen says.

Promising new treatment for prostate cancer

After self-training, artificial intelligence was given the opportunity to try new patients. And then even more patients, until it is now validated. For each patient, it analyzes approximately 6,000 images. The patients are recruited from many different countries, and the samples are prepared at various hospitals and digitized with different scanners.

This way of doing it, Danielsen believes, removes the risk of some misinterpretations that have previously occurred with artificial intelligence.

“The likelihood of those with a poor prognosis relapsing is four times higher than for those with a good prognosis. On such a large group, this is a stronger prognostic marker than anything else found for this type of cancer.”

The method is already in use at Oslo University Hospital, and Danielsen expects it to spread quickly. They are also planning an international study where patients will be provided with this method.

“Then the next step is to see if the method is also predictive”, Danielsen says.

If that is the case, then it can also predict the effect of the various treatments on each patient.

Reference:

Ole-Johan Skrede, Sepp De Raedt, Håvard E. Danielsen et al.: Deep learning for the prediction of colon cancer: a finding and validation study. The Lancet, February 2020, doi: 10.1016 / S0140-6736 (19) 32998-8.

Powered by Labrador CMS