An article from Norwegian SciTech News at NTNU

Moths get wind of partner from a kilometre away
A small part of a moth’s brain is providing new research data that tells us more about our human sense of smell.
Denne artikkelen er over ti år gammel og kan inneholde utdatert informasjon.
Although the brain of a moth is smaller than a pinhead, we know a lot about the moth’s nerve activity there. One of the most widely studied areas is the moth brain’s primary smell centre: the antennal lobe.
Now researchers have found detailed data in a higher and relatively little understood smell centre in the moth brain. This brain centre is known to communicate more closely with the motor system.
The findings shed new light on the mysterious goings-on that occur in our brains when we use our sense of smell.
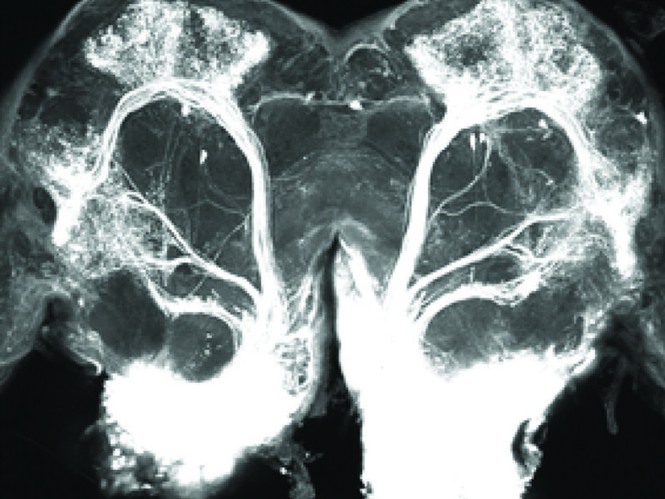
Odours signal specific storage locations
A male moth of the species Heliothis virescens (tobacco budworm) can smell a female of the same species from a kilometre away. Males also manage to register the scent of a female of another species, plus various plant scents. Moths have developed an olfactory system to detect odours that are biologically important for them.

A network of neurons in the antennal lobe form spherical structures called glomeruli – which is the Latin diminutive for “balls of yarn.”
This nerve network is strikingly similar to what we find in our own olfactory bulb, i.e. the primary centre of the sense of smell in the human brain.
We know that each scent signal that a male moth detects is recognized by specific sensory olfactory neurons of the insect’s organ of smell: its antennae.
The sensory olfactory neurons are small neurons that form a direct connection between the brain’s olfactory centre and the outside world via nerve fibres. Odour signals are projected to the antennal lobe, where sensory olfactory neurons that recognize the same odorants are each processed in a specific non-overlapping glomerulus.
Odour signals’ effect on behaviour

Researchers have studied how odorant data is processed in the next area of the insect’s olfactory pathway: the lateral horn.
“In this higher brain centre the organization is quite different. Here the various odours are handled in relatively wide areas that overlap substantially – but nerve network here is arranged according to the behaviour that the various odours trigger in the insect,” says Bente G. Berg, a Professor in NTNU’s Department of Psychology.
Odorants released by moths are called pheromones. A male moth that detects a female of the same species, immediately begins a zigzagging upwind surge toward her. Pheromones from the female are carried by the wind, so the male has to fly against the wind to locate the source of the scent.
If the male smells a female of another species, however, he changes course and flies away from her. This behavioural response helps the male to find a female he can mate with, and in this way the olfactory system helps to ensure the species’ survival.

According to Berg, the new study shows that pheromone signals from a female of the same species and those from a female of another species, each triggering a different behaviour, are treated in separate regions in the lateral horn
Information from plant scents is transmitted to yet a third area. “We’ve known that plant scents and pheromone signals go to different regions, but what is new for us is to learn that two types of pheromone signals, each connected to a different behaviour, are processed in different places,” says Berg.
Moth vs. man
Now you may be wondering how this new data from the small moth brain can give us a greater understanding of our own sense of smell. Humans can naturally override their instincts, and specific odours do not automatically trigger specific actions, as is the case for male moth. Nor does the human brain have a lateral horn
Yet your brain has more similarities with the moth’s brain than you might think.

“Humans also have an olfactory bulb consisting of non-overlapping glomeruli, which corresponds to an insect’s antennal lobe. We also have higher brain centres that reveal striking similarities to the corresponding level of the insects’ system. Data from the amygdala, an area of the olfactory pathway in mammals, is similar to the data we have found in the moth’s lateral horn,” Berg says.
“In human beings scent signals are also processed in separate and partially overlapping areas in the amygdala. Like the lateral horn, the amygdala receives nerve impulses directly from the primary olfactory centre.” she says, adding that our experience of smell often evokes a strong feeling of comfort or discomfort, and this is related to activation of the amygdala.
This brain structure plays an important role in our emotional reactions, according to Berg.
Studying living brains
Despite the similarities, the moth is a more suitable research object in neurological studies than humans are, and thus it is the moth brain that scientists in NTNU’s Department of Psychology olfactory lab are working with.
Moth brains contain functional nerve networks that are relatively easily accessible for experimental studies. For example, researchers can monitor the activity of individual brain neurons in the living organism while they inject dye into the neuron.
“Knowledge of and access to behaviourally relevant odorants are clearly of essential importance for researchers who study the sense of smell. By blowing appropriate pheromones from a female moth over the male’s antennae, we can obtain very precise indications about which coding mechanisms the system uses,” says Berg.
Since an insect’s brain is so small, the researchers can also analyse an entire moth brain under the microscope. They can see how the nerve network is constructed and how the various nerve cells communicate with each other. So far no one has managed to identify how scents that are relevant for mammal behaviour are reflected in the higher centres of our olfactory pathways.
“It’s not possible to study these individual nerve cell processes in just any organism. In addition to the general knowledge we’re gaining about the olfactory system, it’s quite amazing to see how incredibly sophisticated and well-organised the nervous system is in these tiny insect brains,” says Berg.