An article from University of Oslo

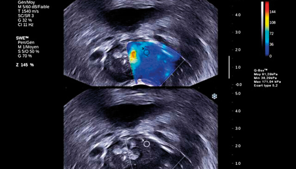
Ultrasound creates two types of waves: pressure waves and shear waves. Current ultrasound examinations measure the pressure waves. The new ultra sound examination measures the shear waves. Until now it has not been possible to measure the shear waves. Shear waves can be used to measure elasticity in soft tissue. (Photo: Supersonic Imagine)

New and radiaton-free method of cancer detection in testing now

It will now be possible to detect cancer by measuring the elasticity of tumours. The method is cheap, safe and radiation-free.

Published

Denne artikkelen er over ti år gammel og kan inneholde utdatert informasjon.

University of Oslo

The University of Oslo is Norway's leading institution of research and higher education.

As one of the first countries in the world, Norway will be testing a completely new method for detecting cancer. This is done by measuring the elasticity of tumours. The method is called elastography. You may as well learn this new word right away; in a few years, elastography may be as common as X-rays.

"Elastography gives oncologists yet another method for detecting tumours. Elastography may be especially suitable for determining how serious the illness is," says radiologist and clinical consultant Per Kristian Hol at the Intervention Centre at Oslo University Hospital, Rikshospitalet.

To detect cancer, determine how the cancer is developing and how dangerous it is, hospitals must often use large and expensive methods such as X-rays, MR, CT or PET.

"Some of the methods use a lot of  radiation. Others are very expensive to run."

"Wave velocity in ultrasound measurements increases the more dangerous the tumour is", explains Professor Sverre Holm (right) and Postdoctoral Fellow Peter Näsholm in the Department of Informatics at UiO. (Photo: Yngve Vogt)

Every year, nearly one hundred Norwegians get cancer from X-rays. This is what radiologist Lars Borgen found in his dissertation in clinical medicine last year. The radiation from a round in a CT machine is ten times higher than the average background radiation during an entire year, according to particle physicist Erlend Bolle. For PET scans, the patient is injected with radioactive tracers.

"We want the best possible diagnostics with the least possible radiation. Elastography is completely safe."

A promising method

Elastography can be combined with either MR or ultrasound. MR machines are expensive.

"Ultrasound is cheap, but the result depends a lot on how good the ultrasound examination is. In the future, we envision that elastography will be performed at a regular doctor's office", says Hol.

The University Hospital is now planning to test the method on patients.

"We still don't know a lot about elastography, but the method looks promising. If elastography is the technique we are hoping for, this can become an important examination in the future. This would allow us to use elastography to characterize different types of tumours, such as cancer of the liver", says Anne Cathrine T. Martinsen, who is the Section Manager of diagnostic physics at the Intervention Centre and Associate Professor in the Department of Physics at the University of Oslo.

Vibrator

Tumours do not have the same elasticity as healthy tissue. Elasticity is related to the density of blood vessels. Tumours have more blood vessels than healthy tissue. Malignant tumours usually have even more blood vessels and a greater blood flow than benign tumours.

"Different tumours at different stages of the development of the cancer have different elasticity. Tumours may be less or more elastic than healthy tissue. Some tumours may spread, while others do not. In other words, we can get an entirely new map of organs and tumours by measuring elasticity."

The examination is simple. The doctor places a vibrator on the location that is to be examined. The vibrator has a pulse of up to 200 oscillations per second. The pressure wave from the vibrator goes through the organ. This allows doctors to study the elasticity of the healthy and diseased parts.

Researchers at the Hôpital Beaujon university hospital in Paris are already testing elastography on patients with liver fibrosis, an illness in which the liver has become stiff due to hepatitis or alcohol damage.

The Intervention Centre is now planning to test the method on Norwegian patients with liver fibrosis. The method can replace biopsy. This means that patients do not have to have a needle inserted into their liver.

The trick: divide the waves!

In the last four years, Professor Sverre Holm in the Department of Informatics at the University of Oslo has collaborated closely with the French researchers. Holm has researched ultrasound for 20 years and he is also adjunct professor in the Department of Circulation and Medical Imaging at the Norwegian University of Science and Technology.

"Elastography-ultrasound is completely different from the current use of ultrasound. Traditional ultrasound sends out a signal that returns as an echo. The problem is that it is impossible to distinguish between malignant and benign tumours with regular ultrasound", says Holm.

Ultrasound creates two types of waves. The most common type is pressure waves. Pressure waves go down into the tissue. The other waves are created by the radiation pressure from pressure waves and run horizontally. These waves are called shear waves.

While pressure waves are mostly affected by fluids, the shear waves capture the characteristics of the other 30 per cent of the body that does not consist of water.

Until today, it has not been possible to measure shear waves.

"We study how the shear waves behave in the tissue, and look at viscosity (studies how liquid the fluid is), attenuation and velocity", says Holm.

Shear waves are created when pressure waves are sent to specific points. From there, the special diagonal energy waves are created. The trick is to use the regular ultrasound waves to measure the diagonal energy pulse.

"We must reconstruct what happens. We must discard all information from the pressure waves and only retain the information from the shear waves", says Holm.

The pressure wave has a speed of 1,500 metres a second. The shear wave has a speed of one to ten metres a second.

"A regular ultrasound scanner takes a hundred images a second. The speed must be increased to a thousand images a second in order to capture shear waves. To manage this speed, we must sacrifice some of the image quality", says Postdoctoral Fellow Peter Näsholm in the Department of Informatics.

If  the frequency changes, the speed of the waves will change. It turns out that the more dangerous a tumour is, the the higher the speed of the waves is. A large calculation capacity is required to interpret these waves. The mathematics is far from simple.

Hope to replace mammography

French researchers believe that in the future, elastography can replace mammography. Mammography uses X-rays to examine breasts. Any dose of radiation is unfortunate.

"Elastography can be an important supplementary examination in the diagnosis of breast cancer. Large clinical trials will be carried out in the near future to see if we can replace mammography with elastography", says Professor Mickael Tanter at ESPCI, the technical university college for industrial physics and chemistry, which is behind the technology used by the French ultrasound company Supersonic Image.

The Intervention Centre is less certain than the French professor.

"If elastography is to replace breast cancer screening, it must be able to see smaller tumours and to see the tumours better than it does currently. In mammography, it is difficult to detect small tumours. There is hope that elastography can also be used to see small tumours, but there is still quite a way to go", notes radiologist Per Kristian Hol.

External links

Related content
Powered by Labrador CMS