This article is produced and financed by NTNU Norwegian University of Science and Technology - read more

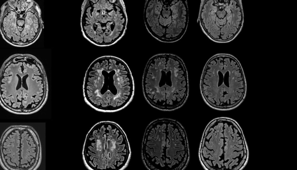
Here are MRIs of different brains with varying degrees of white spots.

Smoking may cause white scars on the brain

Nearly half of all people over the age of 50 have scarring in their brain's white matter. It turns out that does more harm than previously thought.

Published

It’s quite possible that you are one of those people with white spots on the brain. Healthy people aren’t spared them, but sick individuals may be more vulnerable. If you smoke, the risk increases even more.

You probably don't notice them too much unless your doctor has you get into an MRI machine.

Then you can see them. White spots on the brain. These are scars in your white matter.

Hmm.

A bit unpleasant to think about, but is there really a problem if they’re so common?

Affects completely different parts of the brain as well

“Both yes and no,” says Asta Håberg, a neuroscience professor at NTNU.

The effects of the white spots increase in volume as they spread across the surface of the brain. Here marked in blue

“White spots are the most common age-related finding, but they’re not good for the brain. It becomes more vulnerable,” says Håberg.

She just discovered something new about the white spots:

If you get scarring in your brain’s white matter, it is easy to grasp that it will affect exactly that area where the scar is. What Håberg and her colleagues found was that completely different parts of the brain are also affected by the scarring.

Including areas far removed from the scarred tissue.

Spreads with increasing volume

As with many other things in life, it starts deep and spreads out.

“The effects of the white spots spread across the surface of the brain and increase in volume,” says Håberg.

Now things have just gotten a little more worrisome. It doesn't help that scientists don't really know why the white spots appear at all. Ever since they were discovered, they have been a mystery.

Stub out the cigarette and check your blood pressure

But a few pieces of the puzzle are in place.

“Smoking and high blood pressure increase the risk,” says Håberg.

Fortunately, there’s been a shift here. Fewer young people now take up smoking. Among individuals who started when they were young, some are obviously still caught in tobacco’s grip. Statistics Norway data shows that twelve per cent of Norway’s population smoked in 2018.

Smoking is more prevalent among people in the 65-74 age group than among those who are 49 years old or younger.

The risk of numerous different brain diseases – such as dementia or stroke – increases with age.

“Keeping your brain as healthy as possible can reduce the negative effects of other brain diseases. Regular health advice on treating high blood pressure and not smoking is therefore good for both the body and the brain,” says Håberg.

Just to reassure folks a bit in closing: the white spots have varying degrees of severity.

Reference:

The effect of white matter hyperintensities on regional brain volumes and white matter microstructure, a population-based study in HUNT. Torgil Riise Vangberg, Live Eikenes, Asta K. Håberg. NeuroImage. Vol. 23 Dec. 2019, 116158. DOI: 10.1016/j.neuroimage.2019.116158

Powered by Labrador CMS